Directors
Studio
Projects for Good
Facilitation
About
Shop
Contact
Subscribe
Social
collider
collider.studio
Vimeo
Vimeo
LinkedIn
Collider
< Directors
< Ben Briand
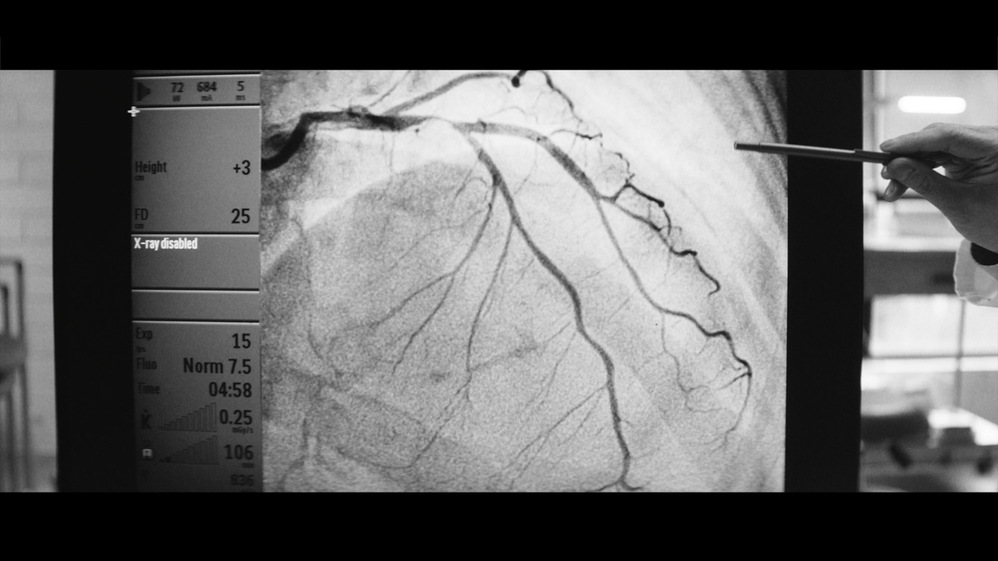
Blue Cross Blue Shield
Hal
(Director's Cut)
Read more
x Close
Client. Blue Cross Blue Shield
Project.
Hal
(Director's Cut)